KAHIS 소개
KAHIS
축산차량등록제
가축질병정보
가축방역안내
가축방역기관안내
돼지열병
아프리카 돼지열병(ASF)
구제역
소해면상뇌증(BSE)
럼피스킨(LSD)
조류인플루엔자
광견병
축종별가축질병
가축질병백과
가축전염병 발생정보
국내현황
국외현황
KAHIS 자료실
공지사항
가축방역 법령정보
방역자료실
사용자 게시판
자주하는질문(FAQ)
가축질병정보
가축방역안내
가축방역기관안내
돼지열병
돼지열병이란
돼지열병원인체
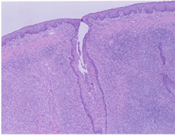
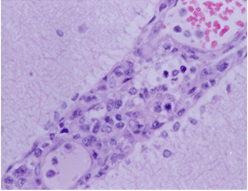
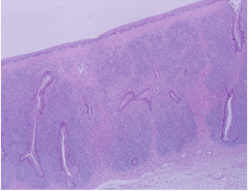
임상증상 및 소견
주요임상증상
진단방법
홍보 및 교육자료
아프리카 돼지열병
구제역
구제역이란
구제역증상
소독약품
소독요령
방역대책 상황실
구제역 자료실
소해면상뇌증(BSE)
BSE(소해면상뇌증)이란
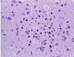
감염소뇌조직병변
소해면상뇌증(BSE) 자료실
럼피스킨(LSD)
조류인플루엔자
조류인플루엔자란
원인체
전파방법
임상증상 및 부검소견
병원성 인플루엔자
소독약품
소독요령
신고요령
진단사례
자료실
AI역학조사서
AI특별방역대책
광견병
광견병이란
발생현황
전파경로
증상
예방방법
자료실
축종별가축질병
가축질병백과
>
가축질병정보
>
돼지열병
>
주요임상증상
주요임상증상